好博体育足球

/
新品发布——水稻重组人转铁蛋白(禾创OsrhTF)
来源:好博体育足球生物| 发布时间:2022-11-17| 点击量:4616
一、转铁蛋白简介

转铁蛋白(Transferrin,TRF、TF)又称运铁蛋白,是在无脊椎动物和脊椎动物的生物液体中发现的糖蛋白,主要由肝脏制造,转铁蛋白是体内最关键的铁池,它是身体铁状态的重要生化标志物。转铁蛋白由位于同源N-端和C-端的两个叶片(Lobe)组成的一种单链糖蛋白。人转铁蛋白共含678个氨基酸残基,等电点为5.9、分子量为76kD。每分子的转铁蛋白能携带2个三价铁离子(Fe3+)。转铁蛋白与Fe3+的相互作用取决于pH,pH为7.4时,转铁蛋白与Fe3+高效结合,在酸性pH下两者分离。它一共有两个铁离子结合位,每个结合位可以与一个铁离子结合。在羧基端(carboxyl terminal)的结合位与铁离子有很高的亲和力,只会与铁离子结合。在氨基端的结合位则是可以与其他离子结合,亲和力高低如下:铁>铬>锰>镉>镍。三价铁离子与转铁蛋白的结合需要一个阴离子的存在,通常是碳酸氢盐。与铁离子结合的转铁蛋白称为饱和转铁蛋白或全铁转铁蛋白(Holo-transferrin),未与铁离子结合的转铁蛋白称为脱铁转铁蛋白(Apo-transferrin)。

xxxxx

转铁蛋白主要存在于血浆中,血浆中的转铁蛋白供应机体绝大部分组织的铁,而在其不能到达的部位,由这些组织自己合成的转铁蛋白在局部产生转铁作用,可自身合成转铁蛋白的其他组织和细胞还包括室管膜、少突胶质细胞、转移性黑色素瘤细胞系以及人乳腺癌细胞系[1]。转铁蛋白已在各种体液中检测到,包括血浆、胆汁、羊水、脑脊液、淋巴和母乳。转铁蛋白的血浆浓度从出生起就稳定,范围为2g/L至3g/L,该蛋白的体内半衰期为8天。转铁蛋白水平对于健康生长非常重要,低于0.1g/L的水平与感染、生长迟缓和贫血的发病率增加相关。

 

 
二、转铁蛋白重要的代谢角色

    铁是几种代谢途径和生理过程的重要元素[1]。铁稳态的维持至关重要,因为变化会减少或过量对人体有害。铁对所有生物都很重要。它在DNA复制中起着核心作用,其中一种关键酶是核糖核苷酸还原酶,需要铁作为辅助因子。铁还作为血红素的辅助因子[2]。然而,游离铁可能有毒,通过Fenton和Haber–Weiss反应促进自由基形成,从而导致组织氧化损伤。游离铁通过将氢过氧化物转化为反应性过氧基和烷氧基而引起脂质过氧化[3]。此外,TF促进涉及碳水化合物醛基和蛋白质氨基的自氧化反应,从而形成糖化产物。由于这些原因,铁以氧化还原非活性形式运输是至关重要的。因此,TF的主要作用是将铁安全地运输到身体周围以供应生长细胞。

 
三、转铁蛋白的作用机理

    转铁蛋白负责运载由消化管吸收的铁和由红细胞降解释放的铁。以三价铁复合物(TF-Fe3+)的形式进入骨髓中,供成熟红细胞的生成。转铁蛋白(TF)结合铁是通过与其受体,即Transferrin Receptor 1(TFR1)相互作用而实现的。TFR1 是一种表达于细胞表面的糖蛋白,由两个同源二聚体的亚基通过二硫键连接而成。在细胞表面,TF与Fe3+相互作用形成全铁-TF,并与TFR1受体结合,在细胞内吞作用下进入核内体。在偏酸性核内体的环境中,Fe3+与TF分离,同时前列腺蛋白(STEAP)将Fe3+还原为Fe2+,并被二价金属离子转运蛋白1(DMT1)转运到细胞质中,然后释放了Fe3+的TF与TFR1组成TF/TFR1复合物,通过胞吐作用回游到细胞表面。在细胞表面,转铁蛋白(TF)与受体TFR1分离,成为脱铁-TF,然后再与Fe3+重新结合参与铁循环。整个过程完成后TF和TFR1被循环利用,进入细胞摄取铁的下一个周期中。

xxxxx

 

 
四、转铁蛋白在细胞培养中的重要作用

    传统的细胞培养基由基础培养基添加胎牛或小牛血清组成。血清是一种含有细胞生长所需生长因子的补充剂。而血清制品的定义不明确的性质对于下游研究和治疗应用是不可取的,并且存在批次间差异。同时,血清可能含有细胞生长抑制因子和毒性因子,存在潜在毒性,血清的获取成本高。血清由于成分不完全明确,给细胞培养的标准化带来困难,同时也给细胞表达目的产物纯化等下游操作带来困难。为了克服与血清相关的不一致性能,无血清培养基是绝对必要的。

    细胞无血清培养基通常含有多种维生素、氨基酸、无机盐、微量元素、激素、生长因子以及结合转运蛋白等,部分培养基包含动物来源或微生物重组表达的细胞外基质。

    转铁蛋白对于确保足够的细胞增殖和功能至关重要,对于绝大部分细胞系在无血清培养基中生长是必需的,为绝大多数无血清培养基必需添加物组分,通过与转铁蛋白受体(Transferrin Receptor, TFR) 相互作用,在无血清细胞培养过程中发挥重要功能。转铁蛋白能与三价铁离子可逆性结合,调节铁离子转运及代谢,维持细胞内的铁以及铬、锰、镉、镍等多种金属离子的平衡稳态。可维持细胞的生长和增殖,有类似于生长因子的功能。而且,转铁蛋白也是一种重要的胞外抗氧化剂,可以避免细胞外环境中自由基的产生,防止细胞受到伤害。

    总而言之,转铁蛋白是无血清培养体系中的重要成分,研究表明饱和铁形态的转铁蛋白对于促进细胞生长是最有效的形态。对于杂交瘤,黏连细胞和悬浮细胞系,在细胞培养过程中,应保持培养基中转铁蛋白浓度在0.5-100μg/ml。针对不同的细胞系,需要选择最合适的浓度。

 
五、植物源重组人转铁蛋白——禾创TMOsrhTF

禾创TMOsrhTF是一种来源于水稻胚乳细胞的重组人转铁蛋白,主要用于细胞培养。与天然提取来源的转铁蛋白相比,禾创TMOsrhTF避免了来自于人源或动物源病毒及支原体污染的风险。产品详情点击链接

规格参数

来源:水稻种子

外观:粉红色至红褐色或橘红色粉末或晶体粉末

纯度:≥95%(RP-HPLC)

pH值:6.0~8.0

内毒素:≤1EU/mg

分子量:75kD

铁饱和度:70%

 

主要优势

xxxxx

 

 

 

 

 

 

 

 

 

 

应用案例

xxxxx

 

图1:与其他市售rhTF相比,在低血清测试体系下,禾创具有更佳的生物学活性

xxxxx

 

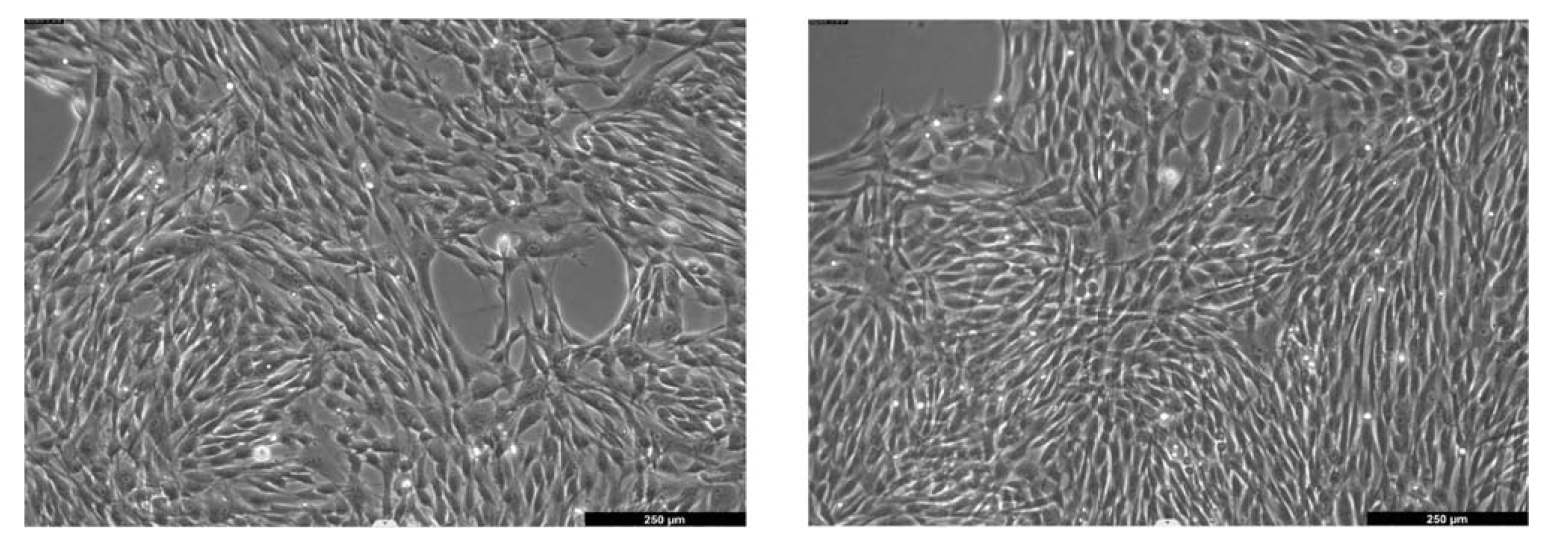
图2:禾创(右)和其他市售rhTF(左)在MSC细胞无血清培养的细胞形态对比

xxxxx

 

图3:与未添加TF相比,禾创能明显促进细胞增殖,并且与其他市售rhTF相比,增殖效果相当。

 

无血清细胞培养系列产品

OsrHSA——水稻重组人血清白蛋白

OsrhFN——水稻重组人纤维连接蛋白

OsrhbFGF——水稻重组人碱性成纤维细胞生长因子

OsrhVEGF——水稻重组人血管内皮生长因子

OsrhKGF——水稻重组人角质细胞生长因子

rhIGF-1 LR3——重组人类胰岛素生长因子-1 LR3

rhEGF——重组人表皮生长因子

 

如您正在进行无血清细胞培养相关的研究并遇到相关困扰,欢迎与好博体育足球生物联系。

技术支持QQ:2490959153

电话/微信:15072375636

 

参考文献

1. Gomme PT, McCann KB, Bertolini J. Transferrin: structure, function and potential therapeutic actions. Drug Discov Today 2005;10:267-273.

2. Li H, Qian ZM. Transferrin/transferrin receptor-mediated drug delivery. Med Res Rev 2002;22:225-250.

3. Rice-Evans C, Green E, Paganga G, Cooper C, Wrigglesworth J. Oxidised low density lipoproteins induce iron release from activated myoglobin. FEBS Lett 1993;326:177-182.

4. Devireddy LR, Myers M, Screven R, Liu Z, Boxer L. A serum-free medium formulation efficiently supports isolation and propagation of canine adipose-derived mesenchymal stem/stromal cells. PLoS One 2019;14:e0210250.

分享

武汉好博体育足球生物科技股份有限公司

电话: 公司总机:027-59403931

传真:027-59301898

邮箱: info@ynbanana.com

营销中心医药事业部(药品): yyshyb@ynbanana.com

营销中心生命科学事业部(非药品): 18717109083

地址:武汉东湖新技术开发区神墩五路268号 430070

Copyright ® 武汉好博体育足球生物科技股份有限公司 All rights reserved.
鄂ICP备12013293号-1